پر كردن فاصله بين دندانها با کامپوزیت، که به آن بستن دیاستم، کامپوزیت دندان فاصله دار یا بستن فاصله بین دندان ها با کامپوزیت هم گفته میشود؛ یکی از روشهای محبوب و سریع دندانپزشکی زیبایی برای بستن فواصل بین دندانی است. بهترین کامپوزیت دندان در اصفهان در مطب دکتر منصوره ابطحی، برای برای اصلاح طرح لبخند و بستن فواصل کوچک و متوسط بین دندانها به کار میرود. این روش به ویژه برای افرادی که نمیخواهند درمانهای طولانیمدت مانند ارتودنسی انجام دهند؛ گزینه مناسبی است.
دیاستم دندان چیست؟
دیاستم به فاصله یا شکاف بین دو یا چند دندان گفته میشود که معمولاً این فاصله در بین دو دندان جلویی فک بالا بیشتر دیده میشود. این فاصله میتواند کوچک یا بزرگ باشد و در بسیاری از موارد، به خصوص در کودکان، یک پدیده طبیعی است که ممکن است با رشد و رویش دندانهای دائمی خود به خود بسته شود.
علل ایجاد دیاستم:
- رشد طبیعی دندانها و فک: در برخی افراد اندازه فک بزرگتر یا دندانها کوچکتر از حد معمول است که باعث ایجاد فضای اضافه و در نتیجه فاصله بین دندانها میشود. همچنین در دوران کودکی، دندانهای شیری معمولاً فاصله دارند تا جای کافی برای دندانهای دائمی فراهم شود.
- فرنوم لب بالا: بافت نرم بین لب و لثه (فرنوم) که گاهی پایینتر از حد معمول قرار گرفته و باعث ایجاد فاصله بین دو دندان جلویی میشود.
- بیماریهای لثه: بیماریهای پیشرفته لثه میتوانند باعث تحلیل استخوان و لق شدن دندانها شوند که در نتیجه فاصله بین دندانها ایجاد میشود.
- از دست دادن دندان: از دست دادن یک یا چند دندان نیز میتواند باعث جابجایی و ایجاد فاصله بین دندانها شود.
- عوامل ژنتیکی و مادرزادی: برخی افراد به صورت ارثی دارای دیاستم هستند.
- عادات نادرست: مانند مکیدن انگشت در کودکی که میتواند باعث ایجاد فاصله شود.
بصورت کلی ترتیب درمان در چنین مواردی، ابتدا انجام بلیچینگ یا سفید کردن دندانها میباشد. و پس از یک هفته، میتوان اقدام به بستن فاصله بین دندانها با کامپوزیت نمود.ولی از آنجایی که مراجعه کننده ما عجله داشتند ابتدا فاصله بین دندانها را با کامپوزیت رنگ روشن نسبت به دندانهای فعلی شان بستیم و سپس اقدام به انجام بلیچینگ آفیــس جهت روشن شدن کلی دندانها رفتیم
عوارض و تاثیرات دیاستم:
- از نظر زیبایی، فاصله بین دندانها میتواند ظاهر لبخند را تحت تأثیر قرار دهد و باعث کاهش اعتماد به نفس فرد شود.
- در دندانهای عقبی، فاصله زیاد میتواند باعث گیر کردن غذا، بوی بد دهان و افزایش خطر بیماریهای لثه شود.
- در کودکان، دیاستم میتواند باعث مشکلاتی در تکلم شود اگر درمان نشود.
تشخیص دیاستم معمولاً با معاینه ساده دندانپزشکی انجام میشود و در صورت نیاز، عکس رادیولوژی نیز گرفته میشود.
روشهای درمان دیاستم:
- ارتودنسی: جابجایی دندانها برای بستن فاصله
- ترمیم با کامپوزیت یا لمینت: پر کردن فاصله با مواد همرنگ دندان
- جراحی فرنوم: در صورت علت بودن فرنوم پایینچسبیده
از بین بردن فاصله بین دندان با کامپوزیت
بستن دیاستم دندان با کامپوزیت یکی از روشهای سریع، ایمن و نسبتاً ارزان برای از بین بردن فاصلهی بین دندانها (بهویژه دو دندان جلویی فک بالا) است. پر كردن فاصله دندان با كامپوزيت بیشتر به دلایل زیبایی انجام میشود و جایگزین مناسبی برای درمانهای طولانیمدتی مثل ارتودنسی در موارد خفیف تا متوسط به حساب میآید. در روش کامپوزیت برای دندان های فاصله دار، دندانپزشک با استفاده از کامپوزیت رزینی همرنگ دندان، این فضا را پر کرده و ظاهر یکنواختتری به دندانها میدهد.
مزایای کامپوزیت ونیر و بستن فواصل بین دندانها
- انجام در یک جلسه (معمولاً کمتر از ۱ ساعت)
- قیمت مناسبتر نسبت به لمینت یا ارتودنسی
- امکان ترمیم یا اصلاح در صورت لزوم
- طبیعی بودن رنگ و فرم نهایی
- غیرتهاجمی بودن و عدم نیاز به تراشیدن مینای دندان
- مناسب برای فواصل کم و متوسط بین دندانها
محدودیتها و نکات مهم:
- برای فواصل بسیار زیاد یا نامتقارن، کامپوزیت ممکن است کافی نباشد و درمانهایی مانند ارتودنسی یا لمینت توصیه شود.
- مقاومت کامپوزیت کمتر از لمینت است و ممکن است در اثر فشار زیاد یا عادات نامناسب دچار ترک یا شکستگی شود.
- نیاز به مراقبت و پالیش دورهای برای حفظ زیبایی و دوام دارد.
- کامپوزیت نمیتواند فرم دندانها را به اندازه لمینت تغییر دهد.
در نهایت، برای انتخاب بهترین روش درمانی جهت بستن فاصله بین دندانها باید به دندانپزشک متخصص زیبایی مراجعه کرد تا پس از معاینه دقیق، مناسبترین و موثرترین روش با توجه به شرایط فردی شما پیشنهاد شود.
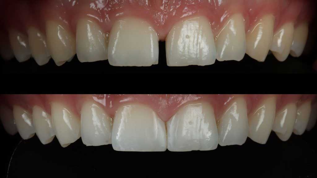
عکس کامپوزیت دندان فاصله دار
در ادامه، نمونه ای از تصاویر قبل و بعد از کامپوزیت دندانهای فاصلهدار را مشاهده میکنید که نشاندهنده تأثیر این روش در بهبود ظاهر لبخند است:
در این تصاویر، تفاوت واضحی بین دندانهای قبل و بعد از کامپوزیت مشاهده میشود. فاصله بین دندانها بهطور کامل پر شده و لبخندی طبیعی و هماهنگ ایجاد شده است. این تصویر نشاندهنده بستن فاصله بین دندانهای جلویی با استفاده از کامپوزیت است. نتیجه نهایی لبخندی یکنواخت و زیبا است.
کامپوزیت دندان فاصله دار جلو
در کامپوزیت دندان فاصله دار جلو راهکاری سریع، کمهزینه و موثر برای اصلاح فواصل بین دندانهای جلویی است که در این روش رزین کامپوزیت همرنگ دندان، روی سطح دندانها قرار گرفته و با نور مخصوص سخت میشود تا فاصله بین دندانها پر، ظاهر دندانها صاف و یکدست، ظاهر لبخند بهبود بخشیده شود و در کل مشکلات ناشی از فاصله دندانی را کاهش دهد. کامپوزیت برای بستن فواصل کوچک تا متوسط بین دندانها بسیار مناسب است و میتواند ترکها، تغییر رنگ و مشکلات جزئی فرم دندانهای جلویی را نیز اصلاح کند.
طریقه کامپوزیت دندان فاصله دار
طریقه یا مراحل کامپوزیت کردن دندان فاصلهدار (بستن دیاستم با کامپوزیت) معمولاً ساده، بدون درد و در یک جلسه قابل انجام است. در ادامه دکتر منصوره ابطحی بهترین متخصص زیبایی دندان در اصفهان، مراحل انجام این کار را به زبان ساده و دقیق توضیح میدهند
مراحل کامپوزیت دندان برای بستن فاصله:
طول درمان معمولاً بین ۳۰ دقیقه تا ۱ ساعت بسته به تعداد دندانها و فاصلهها انجام می شود:
مشاوره و معاینه اولیه:
- دندانپزشک فاصله بین دندانها را اندازهگیری کرده و بررسی میکند که آیا کامپوزیت گزینه مناسبی هست یا خیر.
- اگر فاصله خیلی زیاد باشد یا مشکل لثهای وجود داشته باشد، ممکن است روشهای دیگر مانند ارتودنسی یا فرنکتومی پیشنهاد شود.
انتخاب رنگ کامپوزیت:
رنگ کامپوزیت بهگونهای انتخاب میشود که کاملاً با رنگ طبیعی دندانها مطابقت داشته باشد.
تمیز کردن سطح دندانها:
- سطح دندانها کاملاً تمیز و خشک میشود.
- گاهی اوقات از مواد اسیدی ضعیف برای آمادهسازی سطح مینای دندان استفاده میشود تا چسبندگی بهتر شود (Etching).
قرار دادن مواد کامپوزیت:
- مواد کامپوزیتی (رزین همرنگ دندان) بین دندانها قرار داده میشود.
- سپس به دقت شکل داده میشود تا فرم طبیعی دندانها حفظ شود.
سخت کردن با نور (Curing):
- از نور آبی مخصوص (لایتکیور) برای سفت کردن مواد کامپوزیت استفاده میشود.
- این مرحله چند بار برای لایههای مختلف انجام میشود.
پالیش و پرداخت نهایی:
پس از فرمدهی، سطح کامپوزیت صیقل داده میشود تا شبیه سطح براق و طبیعی دندانهای دیگر باشد.
فیلم کامپوزیت دندان جلو فاصله دار
در این بیمار عزیز فواصل بین دندانی با طبیعی ترین شکل ممکن با کامپوزیت ونیر بسته شدند.
قیمت کامپوزیت دندان فاصله دار
هزینه کامپوزیت دندان فاصله دار برای بستن فاصله بین دندانهای جلو، بسته به نوع برند کامپوزیت، کیفیت مواد، تخصص دندانپزشک و تعداد دندانهای مورد درمان متغیر است. به طور کلی هزینه بستن دیاستم دندان بین حدود 1,500,000 تومان به عنوان ارزانترین قیمت تا حدود 5,500,000 تومان برای برندهای با کیفیت بالا متغیر است زیرا برندهای مختلف کامپوزیت قیمتهای متفاوتی دارند. در کلینیکهای مختلف قیمتهای اقتصادی از 3,500,000 تا 4,500,000 تومان و کامپوزیتهای درجه یک و با کیفیت تا حدود 9,500,000 تومان نیز گزارش شده است.
در پایان می پردازیم به سوالات پر تکرار در مورد بستن فاصله بین دندان ها با کامپوزیت:
بهترین روش برای فواصل زیاد بین دندانها کدام است و چرا؟
بهترین روش برای بستن فواصل زیاد بین دندانها (دیاستمهای وسیع) بستگی به چند عامل مهم دارد، از جمله:
- اندازه و تعداد فاصلهها
- موقعیت دندانها و فک
- وضعیت لثه و بافت نرم (مثلاً وجود فرنوم ضخیم)
- سن بیمار
- اولویت زیبایی یا عملکردی
- بودجه و زمان مورد نظر بیمار
در مجموع:
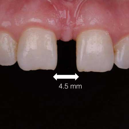
- اگر فاصله دندانی کم (زیر ۱ میلیمتر) باشد؛ کامپوزیت ونیر بهترین گزینه است.
- اگر فاصله دندانی متوسط (۱–۳ میلیمتر) باشد؛ کامپوزیت یا لمینت بهترین گزینه است.
- اگر فاصله دندانی زیاد (بیش از ۳ میلیمتر) باشد؛ ارتودنسی یا ترکیب ارتودنسی + لمینت بهترین گزینه است.
چه تفاوتی بین کامپوزیت و لمینت در بستن فاصله دندان وجود دارد؟
تفاوت اصلی بین کامپوزیت و لمینت در بستن فاصله بین دندانها به چند جنبه مهم برمیگردد:
- جنس مواد
- نحوه اجرا
- میزان تراش دندان
- طول عمر و دوام
- ظاهر و زیبایی
- هزینه
- امکان ترمیم
- زمان درمان
به طور خلاصه:
کامپوزیت برای بستن فواصل کوچک تا متوسط، اصلاح سریع و کم هزینه مناسب است و درمان غیرتهاجمیتری دارد. اگر میخواهید درمان سریع، کم هزینه و بدون تراش دندان داشته باشید و فاصله دندانها کم است، کامپوزیت مناسبتر است.
بهترین لمینت دندان در اصفهان برای اصلاح فواصل بزرگتر، تغییرات رنگ و شکل دندانها، و کسانی که به دنبال نتیجهای بسیار طبیعی و بادوام هستند، گزینه بهتری است. اگر به دنبال ماندگاری طولانیتر، زیبایی طبیعیتر و اصلاح مشکلات پیچیدهتر هستید، لمینت اولویت دارد.
این تفاوتها باعث میشود که انتخاب روش مناسب برای بستن فاصله بین دندانها بسته به شرایط مختلف متفاوت باشد لذا بهتر است با مشاوره دندانپزشک متخصص زیبایی تصمیمگیری شود.
چه زمانی نباید از کامپوزیت برای بستن دیاستم استفاده کرد؟
اگر فاصله بین دندانها زیاد باشد یا مشکل زمینهای (مثلاً فرنوم بزرگ یا موقعیت ناصحیح فک) وجود داشته باشد؛ ممکن است ارتودنسی یا حتی جراحی فرنکتومی پیشنهاد شود. برای انجام ارتودنسی نامرئی اصفهان می توانید به مطب دکتر منصوره ابطحی مراجعه فرمایید.








