اصلاح طرح لبخند یکی از پرطرفدارترین خدمات دندانپزشکی زیبایی است که در سالهای اخیر توجه زیادی را به خود جلب کرده است. دکتر منصوره ابطحی متخصص اصلاح طرح لبخند اصفهان با بهره گیری از جدیدترین تکنولوژی ها و روش های نوین، خدماتی تخصصی و منحصربه فرد مانند بلیچینگ دندان، کامپوزیت، لمینت، ایمپلنت، ارتودنسی، اصلاح خط لثه (لیزر یا جراحی)، روکش دندان و… را در این حوزه ارائه می دهند.
بهترین دکتر طرح لبخند اصفهان
اگر هنگام خندیدن، شکل یا رنگ دندانهایتان باعث کاهش اعتمادبهنفس شما میشود؛ اصلاح طرح لبخند میتواند زندگیتان را تغییر دهد. دکتر منصوره ابطحی، بهترین متخصص زیبایی دندان در اصفهان، با استفاده از جدیدترین تکنیکها و مواد باکیفیت، لبخندی طبیعی و هماهنگ با چهره شما طراحی میکند. در واقع انتخاب یک دندانپزشک متخصص و معتبر برای انجام این فرآیند بسیار حائز اهمیت است تا بهترین نتیجه حاصل شود.
خدمات اصلاح لبخند توسط دکتر منصوره ابطحی در اصفهان
- استفاده از روش های پیشرفته مانند لمینت های سرامیکی نازک و فتوگرامتری لبخند
- بهره گیری از اسکن دیجیتال و طراحی سه بعدی لبخند شخصی سازی شده
- درمان های ترکیبی شامل ارتودنسی، بلیچینگ و جراحی های لثه
- توجه ویژه به نکات زیبایی شناسی و حفظ سلامت دندان ها
خدمات اصلاح طرح لبخند در مطب دکتر منصوره ابطحی
| روش درمانی | کاربرد | مدت زمان | ماندگاری تقریبی |
| لمینت سرامیکی | تغییر رنگ و فرم دندانها | ۲ تا ۳ جلسه | ۱۰ تا ۱۵ سال |
| ونیر کامپوزیت | ترمیم لبخند با هزینه کمتر | ۱ جلسه | ۵ تا ۷ سال |
| بلیچینگ دندان | سفید کردن دندانها | ۱ تا ۲ جلسه | ۱ تا ۲ سال |
| ارتودنسی نامرئی | مرتبکردن دندانها | ۶ ماه تا ۲ سال | دائمی |
درمان متناسب با آناتومی فک، صورت و انتظارات واقعی شما طراحی میشود.
روش های اصلاح طرح لبخند در اصفهان
اصلاح طرح لبخند شامل مجموعهای از روشهای دندانپزشکی است که به منظور بهبود ظاهر دندانها و لبخند افراد انجام میشود. این روشها میتوانند به تنهایی یا به صورت ترکیبی برای دستیابی به نتایج مطلوب استفاده شوند. در زیر به برخی از مهمترین روشهای اصلاح طرح لبخند اشاره شده است:
1- اصلاح طرح لبخند با ایمپلنت
برای جایگزینی دندانهای از دست رفته، ایمپلنت یکی از بهترین گزینههاست. اصلاح طرح لبخند با ایمپلنت دندان در اصفهان توسط دکتر ابطحی یکی از روشهای موثر برای بازسازی لبخند افرادی است که یک یا چند دندان خود را از دست دادهاند. ایمپلنت نه تنها ظاهر دندانها را زیباتر میکند، بلکه عملکرد آنها را نیز بهبود میبخشد. در این فرآیند، دندانهای ازدسترفته با دندانهای مصنوعی زیبا و مقاوم جایگزین میشوند.
2- اصلاح طرح لبخند با لمینت
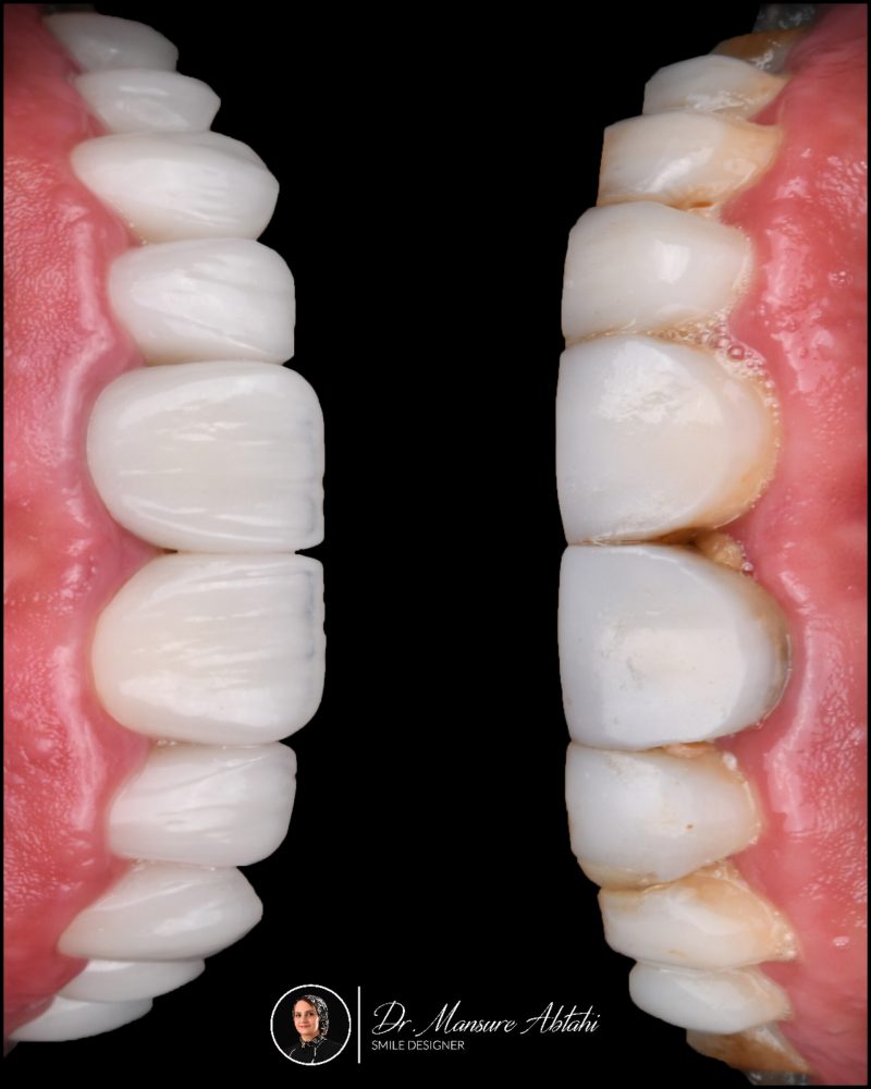
این تکنیک شامل قرار دادن لایهای نازک از سرامیک بر روی دندانها است که ظاهری طبیعی و زیبا ایجاد میکند. اصلاح طرح لبخند با استفاده از لمینت دندان در اصفهان نزد دکتر ابطحی یکی از روشهای محبوب در دندانپزشکی زیبایی است که به بهبود ظاهر دندانها و افزایش زیبایی لبخند کمک میکند.
3- اصلاح لبخند با کامپوزیت
این روش برای پوشش دادن دندانها و اصلاح شکل و رنگ آنها استفاده میشود. اصلاح لبخند با ونیر کامپوزیت در اصفهان یکی از روشهای ساده و غیرتهاجمی برای بهبود زیبایی لبخند است. در این حالت، هنگام لبخند زدن، بخش زیادی از لثه در معرض دید قرار میگیرد که ممکن است باعث نارضایتی فرد شود.
4- اصلاح طرح لبخند با ارتودنسی
برای اصلاح ناهنجاریهای دندانی و بهبود تقارن لبخند، ارتودنسی شفاف در اصفهان توسط دکتر ابطحی میتواند مورد استفاده قرار گیرد. اصلاح طرح لبخند با ارتودنسی یکی از روشهای تخصصی و موثر برای بهبود زیبایی و عملکرد لبخند است. این روش برای افرادی که دندانهای نامرتب، فاصلهدار یا ناهماهنگ دارند؛ گزینهای ایدهآل است.
5- اصلاح طرح لبخند با بلیچینگ دندان
این روش برای سفید کردن دندانها و بهبود رنگ آنها به کار میرود و تأثیر زیادی بر زیبایی لبخند دارد. اصلاح طرح لبخند با بلیچینگ دندان در اصفهان یکی از سریعترین و مؤثرترین روشها برای داشتن دندانهایی سفیدتر و لبخندی درخشانتر است. بلیچینگ دندان به کمک مواد شیمیایی خاص، لکهها و تغییر رنگهای سطحی و عمقی دندانها را از بین میبرد و زیبایی طبیعی لبخند را افزایش میدهد.
6- اصلاح طرح لبخند لثه ای
در مواردی که لبخند لثهای وجود دارد؛ جراحی لثه یا افزایش طول تاج دندان با لیزر ممکن است لازم باشد. اصلاح لبخند لثه ای به مجموعهای از روشهای دندانپزشکی و زیبایی اطلاق میشود که هدف آن کاهش نمایان شدن بیش از حد لثهها هنگام لبخند زدن است. این شرایط زمانی رخ میدهد که در هنگام لبخند، بخش قابلتوجهی از لثهها (بیش از 2 تا 3 میلیمتر) نمایان شود و ممکن است باعث نارضایتی از زیبایی لبخند شود.
7- طراحی لبخند دیجیتال
طراحی دیجیتالی لبخند (Digital Smile Design – DSD) روشی نوین در دندانپزشکی زیبایی است که با استفاده از فناوریهای دیجیتال، امکان شبیهسازی و پیشبینی نتایج درمان را فراهم میکند. این فرآیند به بیماران اجازه میدهد تا قبل از شروع درمان، نمایی دقیق از لبخند نهایی خود را مشاهده کرده و در تصمیمگیری مشارکت فعال داشته باشند.

کلینیک طرح لبخند اصفهان
بهترین کلینیک اصلاح طرح لبخند در اصفهان که توسط دکتر منصوره سادات ابطحی اداره میشود، یکی از مراکز پیشرو و تخصصی در زمینه دندانپزشکی زیبایی و ترمیمی است. دکتر ابطحی با دارا بودن بورد تخصصی دندانپزشکی ترمیمی و زیبایی و سالها تجربه، از به روزترین تجهیزات و تکنولوژی های دیجیتال برای اصلاح طرح لبخند استفاده می کند.
این مرکز با تمرکز بر ارائه خدمات تخصصی و مدرن، محیط آرام و حرفهای، و پاسخگویی به نیازهای زیبایی بیماران، به عنوان یکی از بهترین و معتبرترین کلینیکهای طرح لبخند در اصفهان شناخته شده است. در مجموع، اگر به دنبال بهترین خدمات در بهترین مرکز اصلاح لبخند هستید، دکتر منصوره ابطحی یکی از انتخاب های برجسته و مطمئن میباشد.
دندانپزشکی طرح لبخند اصفهان
اگر به دنبال بهترین دندانپزشکی طرح لبخند در اصفهان هستید، دکتر منصوره ابطحی با سابقه چندین ساله یکی از گزینههای برتر است. استفاده از دستگاههای دیجیتال و مواد باکیفیت، توجه به خواسته و سبک چهره بیمار قبل از شروع درمان، نمایش نمونهکارهای واقعی پیش از تصمیمگیری از ویژگی های بارز ایشان است.
قیمت طراحی لبخند در اصفهان
قیمت طراحی لبخند در مطب دکتر منصوره ابطحی در اصفهان بر اساس نوع روش درمانی، تعداد دندانهای تحت درمان، مواد مصرفی و پیچیدگی مورد متغیر است.
عوامل مؤثر بر هزینه روشهای اصلی طراحی لبخند
| نوع درمان | هزینه تقریبی |
| هزینه لمینت دندان در اصفهان | 6 تا 12 میلیون تومان به ازای هر دندان |
| قیمت کامپوزیت دندان در اصفهان | 3 تا 6 میلیون تومان به ازای هر دندان |
| بلیچینگ حرفهای | 2 تا 5 میلیون تومان برای کل فک |
| جراحی لثه | 1/5 تا 12 میلیون تومان |
| ارتودنسی شفاف | 35 تا 40 میلیون تومان برای یک فک |
برای دریافت دقیقترین قیمتها، مراجعه حضوری یا تماس با مطب ضروری است. هزینه نهایی بسته به شرایط دندانهای شما ممکن است نسبت به ارقام بالا تفاوت داشته باشد.
در پایان مراحل اصلاح طرح لبخند چگونه است؟
اصلاح طرح لبخند با استفاده از فناوریهای مدرن و تکنیکهای پیشرفته دندانپزشکی انجام میشود. این فرآیند شامل چندین مرحله است که بر اساس نیازهای بیمار و شرایط دهان و دندان او تنظیم میشود.
مراحل اصلاح طرح لبخند:
- بررسی وضعیت دندانها، لثهها و ساختار کلی فک.
- گرفتن عکس و رادیوگرافی برای تحلیل دقیقتر.
- گفتوگو با بیمار برای درک انتظارات و ارائه برنامه درمانی مناسب.
- با استفاده از نرمافزارهای پیشرفته، طرح لبخند بر اساس ویژگیهای صورت و دندان بیمار طراحی میشود.
- شبیهسازی نتیجه نهایی به بیمار نشان داده میشود تا اطمینان حاصل شود که طراحی مطابق خواسته او است.
- بسته به نوع مشکلات، یکی یا ترکیبی از روشها اجرا میشود.
در اصفهان، کلینیکهای دندانپزشکی متعددی وجود دارند که با بهرهگیری از فناوریهای دیجیتال و متخصصان مجرب، خدمات اصلاح طرح لبخند را ارائه میدهند. دکتر منصوره سادات ابطحی یکی از این متخصصان مجرب می باشند.
سوالات متداول در مورد طرح لبخند اصفهان
1- هزینه اصلاح طرح لبخند در اصفهان چقدر است؟
هزینه بسته به روش درمان متفاوت است؛ از بلیچینگ (چند میلیون تومان) تا لمینت یا ارتودنسی (دهها میلیون تومان) برای دریافت قیمت دقیق باید معاینه شوید.
2- اصلاح طرح لبخند درد دارد؟
بیشتر روشها بدون درد یا با بیحسی انجام میشوند. فقط ممکن است کمی حساسیت موقت ایجاد شود.
3- ماندگاری اصلاح طرح لبخند چقدر است؟
بسته به روش، بین ۲ تا ۱۵ سال به بالا و در مورد ارتودنسی و جراحی تا مادام العمر ماندگار است.
4- آیا همه افراد میتوانند اصلاح طرح لبخند انجام دهند؟
در بیشتر موارد بله، ولی ابتدا باید سلامت لثه و دندان بررسی شود.
5- مزیت دکتر ابطحی نسبت به سایر دندانپزشکان برای اصلاح طرح لبخند چیست؟
ترکیب تکنولوژی دیجیتال (اسکنر ۳Shape) با هنر طراحی طبیعی لبخند.
آیا شما نیز تجربه ای در اصلاح لبخند داشته اید؟ لطفاً نظرات و سوالات خود را با ما به اشتراک بگذارید تا بتوانیم پاسخگوی بهتر شما باشیم و به دیگران نیز کمک کنیم.




















